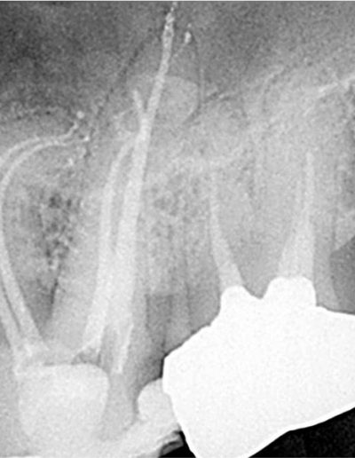
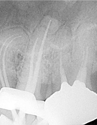
臨床症例の結果
ケース結果
冠状の低侵襲アクセス。
動作中のBassiロジック –
臨床事例のレビューと提出
Bassiは、コミュニティの助けを借りて歯内療法を簡素化および推進しています。毎日の手順からの臨床例は、ファイルの改善に役立ちますが、Endosが学ぶためのリソースも提供します。ケーススタディを確認し、他のエンドユーザーがレビューできるように独自のケーススタディを送信して、他の遠藤を支援してください。
Bassiは、コミュニティの助けを借りて歯内療法を簡素化および推進しています。毎日の手順からの臨床例は、ファイルの改善に役立ちますが、Endosが学ぶためのリソースも提供します。ケーススタディを確認し、他のエンドユーザーがレビューできるように独自のケーススタディを送信して、他の遠藤を支援してください。