Clinical Case Results

CASE RESULTS:

ケース実行者:

Hugo Bastos, DDS

File used for this case:

Logic Shaping

35/.05 | $28 | 4 pack

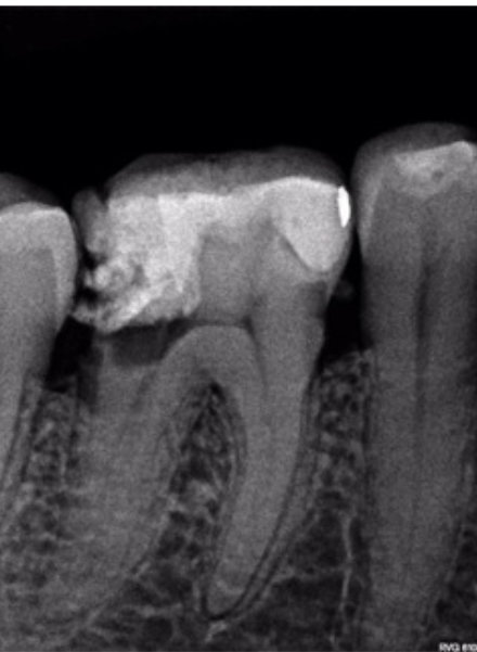
About the Case:

This case used the Bassi Logic 30/.05.

Xrays & Photos:

Click photos to view them larger.

Bassi Logic in Action – Review and Submit Clinical Cases

Bassi simplifies and advances endodontics with help from the community. Clinical cases from every day procedures help us improve our files but also provide resources for Endos to learn from. Review our case studies and help other Endos by submitting your own case studies for others to review.

セミナー お申し込みはこちら